Ein Waschbär hangelt in einer Astgabel am Baum

Aktuelle Lage der Staupeinfektionen bei Wildtieren in Hessen - Juli 2023

Ende 2013 wurde am Landesbetrieb Hessisches Landeslabor (LHL) erstmals eine Häufung von Staupevirus-Infektionen vor allem bei Waschbären aus Nordhessen nachgewiesen. Seitdem werden erlegte oder tot gefundene Waschbären, Füchse und andere Hundeartige, welche dem LHL zur Untersuchung gelangen, routinemäßig auf Staupe getestet.

Wodurch wird die Staupe ausgelöst und wie äußert sich die Erkrankung?

Die Hundestaupe (engl.: canine Distemper) ist eine weltweit verbreitete, hochansteckende, virusbedingte Infektionskrankheit, die unter anderem bei Hunde-, Marder- und Bärenartigen (z. B. Hunde, Füchse, Marder, Waschbären, Bären, Stinktieren, Kleinbären) auftreten kann. Auch Primaten und Großkatzen können betroffen sein, Hauskatzen hingegen erkranken nicht. Für Menschen ist die Krankheit ebenfalls ungefährlich. Das Staupevirus (Canine Distemper Virus, CDV) gehört, ebenso wie das Masernvirus des Menschen, zur Familie der Paramyxoviren. Es handelt sich hierbei um behüllte Viren mit RNA (Ribonukleinsäure)-Genom. Ein eng verwandtes Virus kann auch Robben und Seelöwen infizieren (Robbenstaupevirus, phocine/seal distemper virus).

Die Übertragung der Hundestaupe findet vor allem durch direkten Kontakt mit infizierten Tieren und deren Körperflüssigkeiten statt (Tröpfcheninfektion). Auch wenn das Staupevirus gegenüber allgemeinen Umwelteinflüssen wenig stabil ist, bleibt es, z. B. enthalten in Ausscheidungen, dennoch einige Tage ansteckend. Gängige Desinfektionsmittel inaktivieren das Virus aber schnell. Gegenüber Trockenheit und tiefen Temperaturen ist der Erreger vergleichsweise widerstandsfähig.

Nach einer Inkubationszeit von 3-6 Tagen treten bei erkrankten Tieren in der Regel zuerst unspezifische Symptome wie hohes Fieber und Abgeschlagenheit auf. Da das Virus verschiedene Organsysteme befallen kann, können unterschiedliche Verlaufsformen beobachtet werden. Ist beispielsweise primär der Verdauungstrakt betroffen, zeigt das Tier vor allem Durchfall und Erbrechen. In anderen Fällen können Symptome einer Atemwegsinfektion, wie z. B. Husten, Nasenausfluss oder Atemnot, häufig begleitet von einer starken Bindehautentzündung, im Vordergrund stehen. Abhängig von Verlaufsform und Schwere der Erkrankung endet diese in 30-80 % der Fälle tödlich. Tiere, welche die akute Erkrankung überstehen, können das Virus auch in einem Teil der Fälle nicht aus dem Körper eliminieren und entwickeln chronische Symptome. Hierbei ist häufig das zentrale Nervensystem betroffen (Staupeenzephalitis) und die Tiere fallen durch Krämpfe, Lähmungserscheinungen und Verhaltensauffälligkeiten auf. Auch Blindheit, Augenentzündungen, Zahnschmelzdefekte und eine übermäßige Verhornung der Pfotenballen (Hard pad disease) können beobachtet werden.

An Staupe erkrankte Tiere können den Erreger mit allen Sekreten über eine Dauer von bis zu 4 Monaten ausscheiden und stellen somit eine Infektionsquelle für andere Haus- und Wildtiere dar.

Wie wird die Staupe nachgewiesen?

Die eindeutige Diagnose am lebenden Tier ist schwierig, da der Erreger, wie schon beschrieben, relativ empfindlich gegenüber Umwelteinflüssen ist und sich vermehrungsfähige Viren nur in seltenen Fällen isolieren lassen. Die klinischen Symptome sind häufig Zeichen einer Allgemeininfektion, wie sie auch von anderen Erregern ausgelöst werden können, und erlauben daher allenfalls eine Verdachtsdiagnose.

Der Nachweis der Infektion erfolgt am LHL mittels molekularbiologischer Methoden (real-time RT-PCR), mit deren Hilfe genetisches Material des Virus im Gewebe oder anderen Probenmaterialien infizierter Tiere detektiert werden kann. Dazu zählen unter anderem Blut, Urin, Kot, Augenabstriche oder Gehirn-Rückenmarkflüssigkeit. Hierbei gilt jedoch zu beachten, dass der Erreger selbst sich nur während eines begrenzten Zeitraums nach Infektion in einigen dieser Körperflüssigkeiten nachweisen lässt, beispielsweise 2-20 Tage nach der Infektion in Nasentupfern, 2-12 Tage nach Infektion im Blut und bis zu 60-90 Tage nach der akuten Erkrankung im Urin.

Der Nachweis von Antikörpern gegen das Staupe-Virus kann weitere Hinweise geben, wobei diese Tests bei geimpften Tieren nicht einsetzbar sind, da Impfantikörper nicht von Antikörpern nach einer echten Infektion unterschieden werden können. Auch in sehr frühen Phasen der Erkrankung sind solche Tests nicht aussagekräftig, da der Organismus mind. 2-3 Wochen benötigt, um Antikörper in größerer Menge zu bilden.

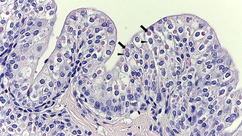
Bei toten Tieren gibt die Obduktion näheren Aufschluss über die Erkrankung. Durch die feingewebliche (histologische) Untersuchung lässt sich eine Staupeerkrankung mit gewisser Sicherheit – durch den Nachweis von Einschlusskörperchen in Virus-infizierten Zellen (siehe Abbildung 1) - diagnostizieren. Der sicherste Nachweis gelingt mittels real-time RT-PCR aus Organmaterial.

Eosinophile intrazytoplasmatische Einschlusskörperchen im Übergangsepithel der Harnblase eines Fuchses
Abb. 1: Zahlreiche eosinophile intrazytoplasmatische Einschlusskörperchen (Pfeil) im Übergangsepithel der Harnblase eines Fuchses. Basophile Zellkerne sind mit Pfeilspitzen gekennzeichnet. Präparat aus der Diagnostik des Hessischen Landeslabors.

Wie kann eine Staupe-Erkrankung behandelt werden und wie kann ich mein Tier davor schützen?

Da keine spezifischen antiviralen Medikamente zur Behandlung der Staupe zur Verfügung stehen, können betroffene Haustiere nur symptomatisch unterstützend behandelt werden und müssen bei schweren Erkrankungen häufig stationär betreut werden. Sind die Atemwege des Patienten betroffen, liegen häufig zusätzlich bakterielle Infektionen vor, welche durch Antibiotikagabe behandelt werden sollten. Bei einer Beteiligung des Zentralen Nervensystems ist die Prognose für das Tier schlecht und eine Euthanasie ist ggf. abzuwägen.

Bei Haustieren stellt die Impfung die wichtigste Prophylaxemaßnahme dar und wird von der ständigen Impfkommission (StiKo Vet) am Friedrich-Loeffler Institut (FLI) für Hunde und Frettchen als notwendige Core-Vakzinierung dringend empfohlen. Eine ordnungsgemäß durchgeführte Impfung führt zu einem langjährigen Schutz der Tiere. Wer Bedenken hat, sein Haustier turnusmäßigen Wiederholungsimpfungen zu unterziehen, kann durch einen Nachweis der CDV-Antikörper in bestimmten veterinärmedizinischen Laboren die Notwendigkeit einer Nachimpfung abklären. Neben nicht geimpften Artgenossen kommen als Infektionsquellen für Haushunde oder andere empfängliche Haustierarten infizierte Wildtiere (vor allem Waschbären, Füchse, Marder und Dachse) in Betracht. Da bei Wildtieren in vielen hessischen Landkreisen das Staupevirus mehr oder weniger stark verbreitet ist, empfiehlt es sich dringend den Impfschutz aufrecht zu erhalten (insbesondere bei jagdlich geführten Hunden).

Wichtig im Zusammenhang mit der Staupeinfektion ist noch darauf hin zu weisen, dass zentralnervöse Störungen bei Wildtieren prinzipiell auch Hinweis auf eine Tollwut-Infektion sein können. Deutschland und damit auch Hessen sind zwar seit 2008 Tollwut-frei, dennoch sollten Wildtiere mit zentralnervösen Symptomen immer auch auf Tollwut untersucht werden, um den Freiheits-Status ständig zu kontrollieren. Daher ist es wichtig, dass auffällig erkrankte Wildtiere generell zur Untersuchung an den LHL (Standorte Kassel-Druseltalstraße und GießenÖffnet sich in einem neuen Fenster) gebracht werden.

Wie verbreitet ist das Staupevirus in der hessischen Wildtierpopulation?

Am LHL werden im Rahmen der Routinediagnostik überwiegend krank erlegte und verendete Wildtiere untersucht. Eine aktuelle Übersicht über die in Hessen durchgeführten Untersuchungen in den Jahren 2014 bis 2022 gibt Abbildung 2.

Die Grafik zeigt die positiven, negativen und Gesamtzahlen an Proben für die Jahre 2014 bis 2022. Nähere Informationen erhalten Sie unter vetabt@lhl.hessen.de
Abb. 2: Untersuchungen von Wildtieren auf Canines Distemper Virus (CDV, Staupe) am LHL 2014-2022.

Insgesamt wurden in den Jahren 2014 bis 2022 am LHL 3275 Proben von hessischen Wildtieren (Waschbär, Fuchs, Marder und Dachs) auf das Staupevirus untersucht. Auch wenn die Anzahl der Proben über die Jahre schwankt und aktuell eher rückläufig ist (Anstieg von 383 Proben im Jahr 2014 bis auf 558 Proben im Jahr 2017, dann Rückgang auf 206 Proben im Jahr 2022), bleibt der Prozentsatz der positiven Proben relativ konstant bei ca. der Hälfte des Untersuchungsgutes (niedrigster Wert 40,2% im Jahr 2021, höchster Wert 54% im Jahr 2017).

Ein Kreisdiagram zeigt die Tierartenverteilung Staupe Untersuchungen 2014-2022. Mit 51 Prozent sind Fuchs, mit 44 Prozent Waschbär, mit 3 Prozent Marder und mit 2 Prozent Dachs betroffen.
Abb. 3a: Verteilung der Staupeuntersuchungen der Jahre 2014-2022 auf die verschiedenen Wildtierarten
Verteilung der positiven und negativen Staupeergebnisse der Jahre 2014-2022 auf die verschiedenen Wildtierarten Ein Kreisdiagram zeigt die Tierartenverteilung Staupe Untersuchungen 2014-2022. Nähere Informationen erhalten sie unter vetabt@lhl.hessen.de
Abb. 3b: Verteilung der positiven und negativen Staupeergebnisse der Jahre 2014-2022 auf die verschiedenen Wildtierarten

Abbildung 3a zeigt die Verteilung des gesamten Untersuchungsgutes der Staupe-PCR am LHL über die Jahre 2014 bis 2022 auf die verschiedenen Wildtierarten. Von insgesamt 3286 Proben stammte die Hälfte (51%, n=1678) von Füchsen und etwas weniger als die Hälfte (44%, n=1459) von Waschbären. Dachse und Marder mit nur 2 (n=55) bzw. 3% (n=94) stellen dabei eher die Ausnahme beim Probenmaterial dar. Bemerkenswerterweise ist der Anteil Staupe-positiv getesteter Dachse dennoch relativ hoch (s. Abbildung 3b): ca. die Hälfte der beprobten Dachse zeigt ein positives Staupeergebnis (25 positive zu 30 negativen Proben). Beim Marder (29 positive zu 65 negativen Proben) fällt dagegen ähnlich wie beim Fuchs (579 positive zu 1099 negativen Proben) nur ca. ein Drittel der Untersuchungen positiv aus. Waschbären wurden zu ca. zwei Dritteln positiv getestet (939 positive zu 520 negativen Proben). Von dieser Tierart scheint, ähnlich wie vom Dachs, ein relativ hohes Infektionsrisiko für Haustiere auszugehen.

Während das Verhältnis von positiven zu negativen Proben über die Jahre 2014 bis 2022 bei Dachs, Marder und Fuchs relativ konstant bleibt, ist die Zahl der positiv getesteten Waschbären interessanterweise in den letzten Jahren rückläufig. Bis 2020 überwog hierbei die Anzahl der positiv getesteten Tiere die der negativ getesteten mit einem Höhepunkt im Jahr 2017 (190 positive zu 51 negativen Ergebnissen), wogegen 2022 nur 39 von 103 Tieren Staupe positiv waren. Ob diese Entwicklung mit der generell geringeren Probenanzahl in den letzten Jahren zusammenhängt oder tatsächlich einen Trend in der Waschbärpopulation darstellt, kann aber anhand der vorliegenden Daten nicht beurteilt werden.

Eine Landkarte von Hessen zeigt die Verteilung der negativen Staupe-Ergebnisse über die Jahre 2014-2022. Nähere Informationen dazu erhalten Sie via vetab@lhl.hessen.de
Abb. 4a: Verteilung der negativen Staupe-Ergebnisse in Hessen über die Jahre 2014-2022 (blau=2014-2019; grün=2020; gelb=2021; rot=2022).
Eine Landkarte von Hessen zeigt die Verteilung der positiven Staupe-Ergebnisse über die Jahre 2014-2022. Nähere Informationen dazu erhalten Sie via vetab@lhl.hessen.de
Abb. 4b: Verteilung der positiven Staupe-Ergebnisse in Hessen über die Jahre 2014-2022 (blau=2014-2019; grün=2020; gelb=2021; rot=2022).

Abbildung 4 zeigt die kartographische Darstellung der Untersuchungsergebnisse über die Jahre 2014 bis 2022. Während Staupeinfektionen 2014 noch überwiegend in den nordhessischen Kreisen Stadt und Land Kassel auftraten, konnten diese in den letzten Jahren über ganz Hessen verteilt nachgewiesen werden (Abb. 4b). Auch wenn das Staupevirus in den Jahren 2020 und 2021 vorwiegend in Landkreisen in Nord- und Mittelhessen (Stadt und Land Kassel, Vogelsbergkreis, Stadt und Land Gießen) auftrat, zeigen die Daten, dass positive Wildtiere in ganz Hessen gefunden werden können, gehäuft auch in den westlichen Landkreisen (Limburg-Weilburg, Lahn-Dill-Kreis) und nördlichen Teilen Südhessens (Stadt Wiesbaden, Main-Taunus-Kreis, Stadt Frankfurt am Main, Main-Kinzig-Kreis, Wetteraukreis). In den südlichen Landkreisen Groß-Gerau, Stadt Darmstadt, Darmstadt-Dieburg, Bergstraße und Odenwaldkreis dagegen wurden Staupeinfektionen nur in wenigen Fällen nachgewiesen. Zu beachten ist, dass die beobachtete Verteilung der Nachweise teilweise stark von der Anzahl der eingesandten Proben je Region beeinflusst wird, wobei die Einsendezahlen gerade in den letzten drei Jahren für Südhessen relativ gering waren.

In den südlicheren Landkreisen werden neben einigen Dachsen hauptsächlich Füchse positiv getestet; in Nordhessen sind in erster Linie Waschbären betroffen.

Stand: Juli 2023